医院紹介
| 医院名 | 山崎歯科クリニック |
|---|---|
| 診療科目 | 一般歯科/歯周病治療/予防治療/インプラント/矯正歯科/入れ歯/審美補綴/ホワイトニング |
| 所在地 | 〒750-0016 山口県下関市細江町1丁目2-3 |
| 最寄り駅 | JR「下関駅」徒歩7分 |
| 駐車場 | 10台 |
診療時間・アクセス
診療時間
| 診療時間 | 月 | 火 | 水 | 木 | 金 | 土 | 日 | 祝 |
|---|---|---|---|---|---|---|---|---|
| 09:00~13:00 | ● | ● | ● | ● | ● | ● | 休 | 休 |
| 14:30-18:30 | ● | ● | 休※ | ● | ● | 休※ | 休 | 休 |
休診日:水曜午後・土曜午後・日曜・祝
※祝日のある週の水曜午後14:30〜18:30、土曜午後14:00〜17:00の診療となっております。
平日の9:00~13:00に訪問歯科診療を行っています
アクセス
JR「下関駅」より徒歩7分
◎駐車場:10台完備
設備紹介
マイクロスコープ

肉眼で見えなかった細部まで拡大して診断。 より繊細な外科治療も可能に。 アメリカの歯科治療ではメジャーとなっていますが、日本ではまだ普及していない「マイクロスコープ(歯科用顕微鏡)」を、当院ではいち早く導入しています。 肉眼では見えなかった細部まで診断することができ、より確かな治療が行えるようになりました。
メリット
従来はできなかった細かい部位の治療もできる。
細やかで確かな診断・治療で治療率が上がり、再発率が下がる。
無駄のない確かな治療により、腫れや痛みなど患者様の負担を軽減できる。
[使用例①]歯根の治療
![[使用例①]歯根の治療](/wp-content/uploads/unnamed-10.png.webp)
歯根の細菌や汚れを除去する際、従来は手先の感覚や歯の削りカスを見て判断するなど、経験とカンに頼る部分が多くありました。
マイクロスコープを用いることで、根の中の状態を目でしっかり確認できるようになり、より確かな細菌や汚れの除去ができるようになりました。
当院ではマイクロススコープを3台装備しております。
[使用例②]歯周病の外科的治療
![[使用例②]歯周病の外科的治療](/wp-content/uploads/unnamed.png.webp)
顕微鏡外科専用の道具を使用し、とても繊細な手術となる歯周病の外科的治療。
マイクロスコープを用いればより細かい作業も可能になるので、従来はできなかった部位の治療もできるようになりました。
[使用例③]補綴治療
補綴物(歯への詰め物や被せ物)などをつくる際にマイクロスコープを使用すれば、より精度の高い冠の作成が可能になります。
補綴物の表面の凸凹を調整することで、装着した際のフィット感がよくなり、噛み合わせの不自然さや歯肉炎の発生を抑えるほか、見た目もよくなります。
エルビウムヤグレーザー(Er:YAG レーザー)

従来のレーザーと比較してより安全性が高く、痛みが少ないという特徴があります。音や振動などのストレスもなく、歯肉の切開や切除・歯周病治療・炎症や傷口・色素沈着の除去など幅広い治療で効果を発揮します。歯の齲蝕を無痛的に除去することもできます。
CO2レーザー

余剰な歯肉を除去したり、手術後や抜歯後の止血に適した効果を発揮します。
3Dプリンター

患者様お一人おひとりの歯冠形状の基本データを保持し、修復物、補綴物の設計、加工を行うことが可能になります。
歯科用CT

2次元のレントゲンから3次元のCTへ。
骨の形状や神経の状態などが診断可能。 当院では、高性能の歯科用CTを完備したCTルームをご用意しております。
従来ではレントゲンで2次元の見え方だったのだが、CTを使うことにより3次元で診断することが可能になりました。主にインプラント治療や親知らずの抜歯など、骨の形状や神経の状態の確認が重要な治療に用いられます。
神経や骨の状態を正確に把握することで、安全・安心な治療が可能になりました。
口腔内スキャナー(Trios、iTero)

歯を削って冠や詰め物を作るときに柔らかい粘土のよう材料を口の中に入れて型を取った経験があると思います。
結構気持ち悪い思いをされたことと思います。
新しい方法はデジタルスキャナーで歯の型を取り、コンピューター上で冠や詰め物のデザインを決定し、機械で加工して作成します。
当院ではトリオスという口腔内スキャナーでデジタルの型取りを行っています。

従来のように型を取って石膏模型を作成し、歯科技工士が模型上で手作業で冠を作成することがなくなり、デジタル情報のみで冠の作成が可能になります。
作成する材料や種類によっては、従来の方法を用いることもありますが、今後デジタルの型取りが増えていくことでしょう。
iTeroは主にマウスピース矯正の歯の型取りに使用しています。
CAD/CAM

補綴物(詰め物や被せ物)を作る高性能機器。
患者様の歯の形状に合わせてカスタマイズできる。
CAD/CAMは、歯の形をスキャナーで読み込み、コンピューター上で補綴物を設計・製作するため、正確な補綴物をつくることができます。
当院ではセラミックなどの審美的な治療を行うにはCAD/CAMの使用が不可欠であると考え、この機械を導入しました。
上記の口腔内スキャナーと連携することで院内でのデジタルワークフローが可能になり適合が良い新しい素材を使用した補綴物の作成が可能になりました。
CAM(加工機)まで全て揃っており、保険のCAD/CAM冠や自費のジルコニア・クラウンなど様々な種類の作成を行うことができます。
また当院では、インプラントの土台(アバットメント)に既製品を一切使用せず、全て患者様の口の状態に合わせてオーダーメイドで作成するためにCAD/CAMを使用しています。
メリット
・コンピューター設計・製作のため正確性が高い。
・インプラントの土台部分まで院内で製作でき、100%患者様に合わせたオーダーメイドが可能。
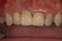
[症例①]
![[症例①]](/wp-content/uploads/unnamed-1.png.webp)
![[症例①]](/wp-content/uploads/unnamed-2.png.webp)
前歯4本をCAD/CAMで作製した冠で治療した症例です。
右の前歯(向かって左の前歯)は欠損しているので、ブリッジになっています。
冠の色調もきれいですが、オールセラミック・クラウンを使用することで光が透過し、歯の付け根の歯肉の色調も明るくきれいになります。
加齢とともに歯肉が痩せても、金属が見えることはありません。
- 治療費(税込): 66万円
- 治療期間: 3ヶ月
- 治療回数: 5回
- メリット: 見た目が綺麗で自然
- 副作用(デメリット): 術後のメンテナンスを定期的に行う必要がある
エアフロー

メンテナンスに用いる機械です。エリトリトールという成分の小さなパウダーを歯に吹き付けることで着色をとったりバイオフィルムという細菌が膜状になった層を除去して虫歯や歯周病を予防します。
バイオフィルムの除去効果が最も高い機械がこのエアフローです。
インプラントのメンテナンスにも活躍しています。
当院では5台エアフローを装備し、各歯科衛生士がメンテナンスや歯周病治療に常時使用しています。
完全個室制

患者様のプライバシーを尊重し、リラックスして治療を受けていただくために、診療室は全室個室にしています。オペ室兼特診室も完備しており、メンテナンス専用の2つの個室ではマッサージ機能が付いた診察チェアを備えています。
歯科技工所(stella)

当院併設の歯科技工所で
よりきめ細やかな補綴物を製作。
当院のビルの上階に、歯科技工所(Stella)を併設しています。
従来は外部発注していた補綴物(被せ物・詰め物)の設計・製作を併設施設で行うことができ、歯科医師と歯科技工士が綿密に打ち合わせとすることで、よりスムーズに質の高いものをつくることができるようになりました。
施設内には、補綴物製作のための高性能機器「CAD/CAM」を完備し、専属の歯科技工士が常駐しています。
コンピューターの正確な設計・製作と、技工士のきめ細やかな調整により、患者様にとって適切な補綴物をつくることができます。
歯の形や色を自然に仕上げ適合制度の高い技工物を作るためには歯科技工士の高度な技術が必要です。当院では各技工士がマイクロスコープを使用し、ミクロン単位の調整を行って、自然で美しく精度の高い技工物を作成しています。
技工物に関するご注文やお問い合わせは、以下の連絡先にご連絡ください。