当院の審美補綴について

患者様お一人おひとりに合わせた精巧な設計を行い、満足いただけるような補綴物(被せ物や詰め物)を製作します。
当院で提供している補綴物は院内に併設された歯科技工所でつくられており、熟練の歯科技工士がマイクロスコープを用いて細やかな調整を行うため、仕上がりの美しさや高い機能性を可能にしています。
CAD/CAMなどの高性能機器を駆使し、保険診療のものからジルコニアなど自費診療のものまで幅広く対応します。どうぞお気軽にご相談ください。
当院で取り扱っている素材

患者様のお口の状態やニーズに合わせて、さまざまな素材を取り扱っています。
オールセラミックス
すべてがセラミックス(陶製)素材で、光の透過度が高く自然で美しい色調が特徴です。
金属を使用していないので歯や歯茎の変色がなく、金属アレルギーの方も安心です。前歯から奥歯まで状況に応じて幅広く使用できます。
- 治療費(税込): 1本132,000円
- 治療期間: 1ヶ月
- 治療回数: 4〜5回
- 副作用(デメリット): 保険が使えない
ジルコニア
透明感があり、審美性に優れています。
金属より硬く、従来のセラミックよりも強度が高く、耐久性にも優れています。
1本の治療からブリッジまで幅広く使用できます。
- 治療費(税込) 1本132,000円
- 治療期間 1ヶ月
- 治療回数 4〜5回
- 副作用(デメリット) 保険が使えない
メタルボンド
中身は金属、外から見える部分はセラミックでできている素材です。
強度が強く、美しい色調を長期間保つことができます。
- 治療費(税込) 1本132,000円
- 治療期間 1ヶ月
- 治療回数 4〜5回
- 副作用(デメリット) 保険が使えない
イーマックス
当院では“新しいセラミック素材”として注目されている「イーマックス」を導入しています。
見た目の美しさはもちろん、柔軟性があり、親和性に富んでいます。
天然歯と同じくらいの硬度があるので、噛み合せる際にほかの歯を痛めません。
- 治療費(税込) 1本132,000円
- 治療期間 1ヶ月
- 治療回数 4〜5回
- 副作用(デメリット) 保険が使えない
ラミネートベニア
「前歯がすきっ歯」
「歯の大きさや形が整っていない」
そんなお悩みを持つ方に適切な治療法だと言えます。
歯の表面を削り、セラミックスを貼りつけることによって、歯の隙間を埋めたり、形や大きさを整えます。
歯の見える部分の表面を通常の冠より薄く削るだけなので、体にやさしい治療法です。
※前歯にラミネートベニアを用いる場合は、その両隣の歯を事前にホワイトニングしておくことによって、より自然に色調を合わせることができます。
- 治療費(税込) 1本132,000円
- 治療期間 1ヶ月
- 治療回数 4〜5回
- 副作用(デメリット) 保険が使えない
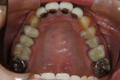
セラミック症例
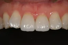
[症例1]
治療前は保険の冠が入っていますが、変色して決してきれいとは言えません。金属も歯茎から透けて見えて黒ずんでいます。
前歯3本を金属を使わないオールセラミック・クラウンで治療し、自然で美しい歯になりました。
ただ白くするのではなく、周りの歯に調和させて自然の歯と見分けがつかず、美しくすることが大切です。
- 治療期間:4ヶ月
- 治療費:30万円
- 治療回数:5回
[リスク・副作用]
セラミック治療は保険適用外・自費診療となります。
健康な歯、天然歯を削る必要があります。
歯の状態によっては歯根の治療が必要な場合があります。
強い力をかけると欠けたり外れたりする可能性があります。
![[リスク・副作用]](/wp-content/uploads/e1.png.webp)
![[リスク・副作用]](/wp-content/uploads/e2.png.webp)
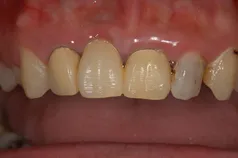
[症例2]
治療前は臼歯部は保険の冠のため金属色が目立ちます。上顎の前歯はセラミックですが、古いタイプの治療法ため裏側に金属が露出しています。
矯正治療後に部分被せも含めて全てセラミックで治療しました。
右下6番は歯を真ん中で分割して2本の冠が入っていましたが、抜歯してインプラントが入っています。
上下顎とも金属色の見えない美しい歯並びになりました。
- 治療期間:約1年
- 治療費:240万円
- 治療回数:26回
[リスク・副作用]
セラミック治療は保険適用外・自費診療となります。
健康な歯、天然歯を削る必要があります。
歯の状態によっては歯根の治療が必要な場合があります。
強い力をかけると欠けたり外れたりする可能性があります。
![[リスク・副作用]](/wp-content/uploads/e3.png.webp)
![[リスク・副作用]](/wp-content/uploads/e5.png.webp)
![[リスク・副作用]](/wp-content/uploads/e4.png.webp)
![[リスク・副作用]](/wp-content/uploads/e6.png.webp)
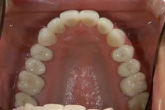
[症例3]
最近はオールセラミックのブリッジも可能になっています。ジルコニアという非常に硬い材料を使用できるようになり、金属を用いなくてもブリッジが可能になりました。
金属を使用するメタルボンドのブリッジに比べ、光の透過性があるので自然な色調に仕上がります。
この症例は、右上側切歯(向かって真ん中から左側2本目の歯)が内側にあり、見た目が悪いため、抜歯してジルコニア・ブリッジをセットしました。
左上(向かって右上)の3本はジルコニアの単独冠をセットしています。
- 治療期間:6ヶ月
- 治療費:60万円
- 治療回数:12回
[リスク・副作用]
セラミック治療は保険適用外・自費診療となります。
健康な歯、天然歯を削る必要があります。
歯の状態によっては歯根の治療が必要な場合があります。
強い力をかけると欠けたり外れたりする可能性があります。
![[リスク・副作用]](/wp-content/uploads/e7.png.webp)
![[リスク・副作用]](/wp-content/uploads/e8.png.webp)
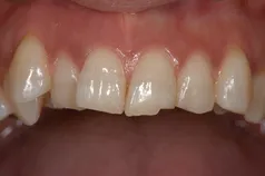
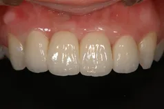
[症例4]
症例3と同様にジルコニア・ブリッジで治療した症例です。
右上中切歯(向かって左上の前歯)が欠損しており、保険のブリッジが入っていました。保険のブリッジは白い部分がレジンという材料でできていますが、経年的に変色するのが大きな欠点です。
治療前は変色があり、歯の長さも不揃いです。
歯の長さがそろうように、歯茎の手術を行い、歯肉がきれいなったあとでジルコニア・ブリッジを装着しています。治療前と比べ、自然で美しい歯になりました。
- 治療期間:6ヶ月
- 治療費:40万円
- 治療回数:18回
[リスク・副作用]
セラミック治療は保険適用外・自費診療となります。
健康な歯、天然歯を削る必要があります。
歯の状態によっては歯根の治療が必要な場合があります。
審美歯科治療を行う場合、外科処置が必要になることがあります。
強い力をかけると欠けたり外れたりする可能性があります。
![[リスク・副作用]](/wp-content/uploads/e9.png.webp)
![[リスク・副作用]](/wp-content/uploads/e10.png.webp)
ラミネートベニア症例
[症例1]
治療前は歯並びが悪いため、部分的に歯がすり減って形が悪くなっています。
矯正治療を行ってきれいな歯並びにした後、前歯4本をラミネートベニアで治療しました。
悪くなった原因を取り除き、歯をできるだけ削らないラミネートベニアをすることで、きれいな状態が長続きします。
- 治療期間:2年
- 治療費:90万円
- 治療回数:36回
[リスク・副作用]
セラミック治療は保険適用外・自費診療となります。
健康な歯、天然歯を削る必要があります。
歯の状態によっては歯根の治療が必要な場合があります。
強い力をかけると欠けたり外れたりする可能性があります。
![[リスク・副作用]](/wp-content/uploads/e11.png.webp)
![[リスク・副作用]](/wp-content/uploads/e12.png.webp)
[症例2]
治療前は前歯の間がすいているため、人前で笑えないなどのコンプレックスを持たれていました。
ホワイトニング後、前歯4本をラミネート・ベニアで治療することで引き締まった口元になり、笑顔が多くなりました。
- 治療期間:2ヶ月
- 治療費:45万円
- 治療回数:4回
[リスク・副作用]
セラミック治療は保険適用外・自費診療となります。
健康な歯、天然歯を削る必要があります。
歯の状態によっては歯根の治療が必要な場合があります。
強い力をかけると欠けたり外れたりする可能性があります。
![[リスク・副作用]](/wp-content/uploads/e13.png.webp)
![[リスク・副作用]](/wp-content/uploads/e14.png.webp)
![[リスク・副作用]](/wp-content/uploads/e15.png.webp)
![[リスク・副作用]](/wp-content/uploads/16.png.webp)
[症例3]
コンポジットレジンという詰め物が破折して来院されました。 ホワイトニング後、前歯2本をラミネート・ベニアで治療し、きれいな歯になりました。
- 治療期間:3ヶ月
- 治療費:25万円
- 治療回数:8回
[リスク・副作用]
セラミック治療は保険適用外・自費診療となります。
健康な歯、天然歯を削る必要があります。
歯の状態によっては歯根の治療が必要な場合があります。
強い力をかけると欠けたり外れたりする可能性があります
![[リスク・副作用]](/wp-content/uploads/e17.png.webp)
![[リスク・副作用]](/wp-content/uploads/e18.png.webp)
ホワイトニング
短期間で白い歯になれる
高機能機器「ビヨンドシステム」を完備
超音波振動でさらにホワイトニング効果がアップ
白く輝く歯は清潔感があり、お顔の印象も明るく変えてくれます。
当院では、歯を削ったり白い色を塗ったりすることなく、手軽に歯を白くできる「ホワイトニング」をお勧めしています。
またホワイトニングで用いる薬剤は、安全性の高いものを使用しています
院内で行う「オフィスホワイトニング」
漂白剤とホワイトニング専用のライトを用いて、短期間で歯を白くします。
約2週間で3回ほど通院し、1回1時間程度の施術を受けていただきます。
痛みはほとんど感じず、自宅で行うホームホワイトニングよりも早く白さを実感できます。
当院では、効果の高いビヨンドシステムの新しい機種を使用しています。。この機械は波長の違うハロゲンとLEDの2種類のライトを使用することに加えてホワイトニングジェルに超音波振動を与えて従来より高いホワイトニング効果が出るようになりました。
ホームホワイトニングよりオフィスホワイトニングの方が短期間で効果が出るため、当院では多くの患者様にオフィスホワイトニングを選択いただいています。
オフィスホワイトニング(3回セット) 49,500円(税込)
- 副作用(デメリット): 少し痛みが出る場合がある
自宅で行う「ホームホワイトニング」
患者様のお口に合わせたトレーをつくり、その中に薬剤を入れて就寝時に装着していただきます。
3~4週間ほどで白さを実感できます。
薬剤はオフィスホワイトンニングのものよりも優しいものを使用するので安心です。
ホームホワイトニング(1セット) 33,000円(税込)
ホームホワイトニング+オフィスホワイトニング(1セット)
- 治療回数:1回
- 副作用(デメリット):1回
効果を長持ちさせる「タッチアップ」
ホワイトニングで白くなった歯を長持ちさせるために、定期的に行うオフィスホワイトニングのメニューです。
6ヶ月〜1年に1回ほど行うと高い効果が得られます。
タッチアップホワイトニング(1回) 11,000円(税込)
- 治療期間:1回
- 治療回数:1回
- 副作用(デメリット): 少し痛みが出る場合がある
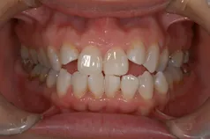
ホワイトニング症例
すべてオフィスホワイトニングのみで行いました。
効果に個人差はありますが、かなり白くなっているのがわかります。
[症例1]
オフィス・ホワイトニングを3回行っています。
- 治療期間:1ヶ月
- 治療費:45,000円
- 治療回数:3回
[リスク・副作用]
ホワイトニング後に一時的に痛みが出ることがあります。痛む場合は痛み止めをお飲みください。
ホワイトニング後に歯が染みる症状が出ることがあります。
ホワイトニング後に少し色が後戻りすることがあります。
薬液が歯肉につくと、歯肉が白くなることがありますが、時間が経てばおさまってきます。
![[リスク・副作用]](/wp-content/uploads/e19.png.webp)
![[リスク・副作用]](/wp-content/uploads/e20.png.webp)
[症例2]
オフィス・ホワイトニングを3回行っています。
- 治療期間:1ヶ月
- 治療費:45,000円
- 治療回数:3回
[リスク・副作用]
ホワイトニング後に一時的に痛みが出ることがあります。痛む場合は痛み止めをお飲みください。
ホワイトニング後に歯が染みる症状が出ることがあります。
ホワイトニング後に少し色が後戻りすることがあります。
薬液が歯肉につくと、歯肉が白くなることがありますが、時間が経てばおさまってきます。
![[リスク・副作用]](/wp-content/uploads/e21.png.webp)
![[リスク・副作用]](/wp-content/uploads/e22.png.webp)
[症例3]
オフィス・ホワイトニングを3回行っています。
- 治療期間:1ヶ月
- 治療費:45,000円
- 治療回数:3回
[リスク・副作用]
ホワイトニング後に一時的に痛みが出ることがあります。痛む場合は痛み止めをお飲みください。
ホワイトニング後に歯が染みる症状が出ることがあります。
ホワイトニング後に少し色が後戻りすることがあります。
薬液が歯肉につくと、歯肉が白くなることがありますが、時間が経てばおさまってきます。
![[リスク・副作用]](/wp-content/uploads/e23.png.webp)
![[リスク・副作用]](/wp-content/uploads/e24.png.webp)
[症例4]
オフィス・ホワイトニングを3回行っています。
- 治療期間:1ヶ月
- 治療費:45,000円
- 治療回数:3回
[リスク・副作用]
ホワイトニング後に一時的に痛みが出ることがあります。痛む場合は痛み止めをお飲みください。
ホワイトニング後に歯が染みる症状が出ることがあります。
ホワイトニング後に少し色が後戻りすることがあります。
薬液が歯肉につくと、歯肉が白くなることがありますが、時間が経てばおさまってきます。
![[リスク・副作用]](/wp-content/uploads/e25.png.webp)
![[リスク・副作用]](/wp-content/uploads/ee.png.webp)
―審美補綴のリスク・副作用
- セラミック治療は保険適用外・自費診療となります。
- セラミック治療の価格はインレー35,000〜60,000円、オールセラミックスとメ・タルボンドとラミネートベニアは全て12万円かかります。(消費税別)
- 健康な歯、天然歯を削る必要があります。
- 歯の状態によっては歯根の治療が必要な場合があります。
- 強い力をかけると欠けたり外れたりする可能性があります。
- 当院では自費治療は5年間保証をつけており、その間に問題が出たときは無償でやり直しをいたします。
- ただし定期的なメンテナンスに通っていただくことが必要です。
矯正治療について

当院では、従来のワイヤー矯正に加え、インビザラインというマウスピースを用いて歯並びをきれいに整えていく矯正治療にも対応しています。 患者様の歯並びや噛み合わせの状況に応じて適した矯正治療法をご提案させていただきます。
当院の特徴
口腔内スキャナー「アイテロエレメント5D」の導入
当院では、口腔内スキャナー「アイテロエレメント5D」を導入しています。
これまでの矯正治療では、粘土のような素材を歯にはめて型取りを行うことが主流でしたが、アイテロエレメント5Dがあれば、歯をスキャンするだけで型取りを行うことができます。また、治療を開始する前の段階で、矯正治療後の歯並びのイメージをコンピューターでシミュレーションすることができるので安心して治療に進むことができます。
取り扱いのある矯正の種類
インビザライン
マウスピースを複数枚用いて行う矯正治療です。マウスピースはとても薄く透明のため、矯正治療中であることがほとんど気づかれることがありません。痛みが少なく金属を使用しないことも特徴です。
メリット
- 矯正していることが目立ちにくい
- 金属を使用しない
- 取り外しが可能なため衛生的
- 通院回数が少なくて済む
- 他の矯正と比べ治療期間が比較的短くて済む
デメリット
- 歯並びの状況によっては適用できないことがある
- 自己管理が必要
- 治療期間:1年半程度 ※個人差あり
- 治療回数:15回程度 ※個人差あり
ワイヤー矯正
矯正治療の中で一番多くの実績がある治療法です。どのような歯並びにも対応しており、きれいな歯並びを実現することができます。
メリット
- どのような歯並びにも対応できる
- 矯正治療の中で一番実績がある
- 治療費が経済的である
デメリット
- 矯正していることが目立つ
- 口内炎ができやすい
- 歯に器具を貼り付けるため清掃が難しい
- 治療期間:2~3年程度 ※個人差あり
- 治療回数:24~30回程度 ※個人差あり
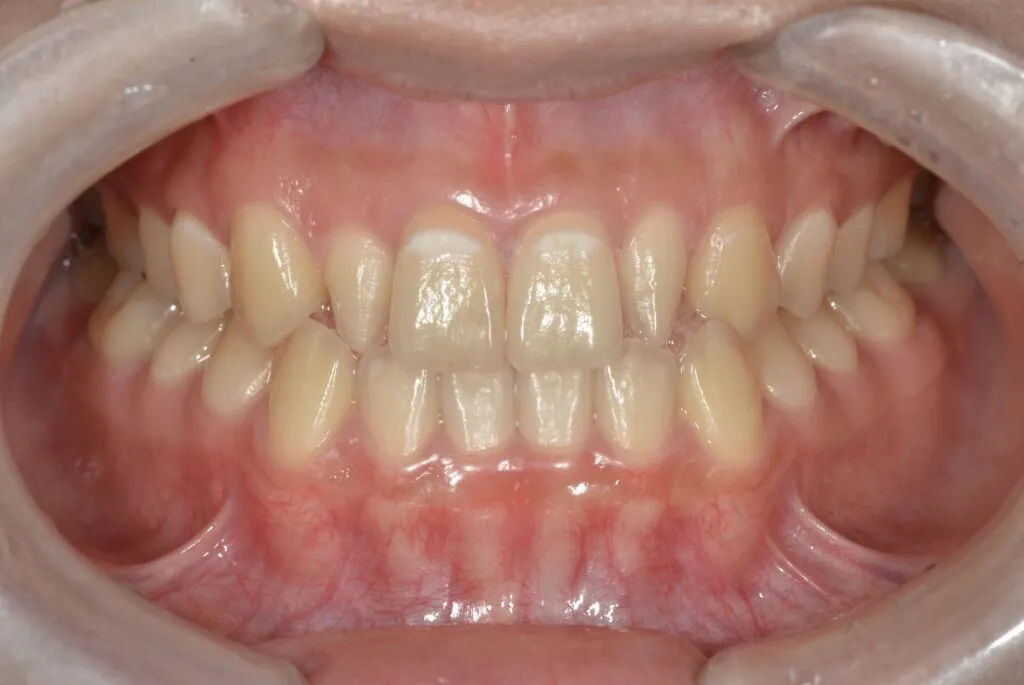
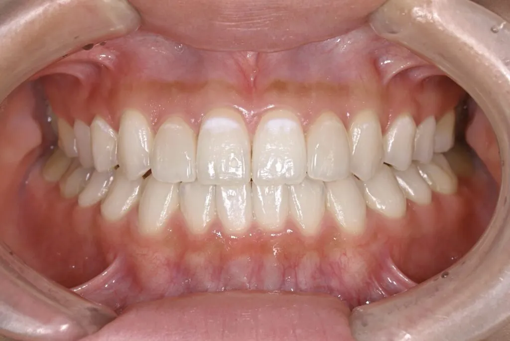
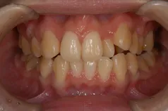
[症例]
矯正治療を行っています。
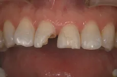
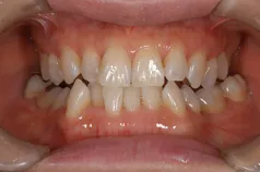
治療前は上下の歯が反対になっている所もあり、上の歯の真ん中から2本目の歯は矮小歯と言って、平均より小さな歯のため上唇が引っ込んで見えます。
インビザラインでマウスピース矯正後、オフィスホワイトニングを行い、矮小歯はラミネートベニアで修復しました。
綺麗な歯並びになるとともに、上顎の歯列のアーチが広がって、上唇がやや前方に出ることで自然な口元になりました。
- 治療期間:1ヶ月
- 治療費:45,000円
- 治療回数:3回
[費用・期間・副作用]
- 治療期間: 1年6ヶ月
- 治療回数: 10回
- 費用: 120万円
- デメリット:治療後に矯正の後戻り防止のためのマウスピースを使用しなければならない




矯正費用(税込)
| 診断料 | 55,000円 |
|---|---|
| 全顎 | ワイヤー矯正660,000円 マウスピース矯正(インビザライン)880,000円 |
| 部分 | ワイヤー矯正110,000円〜 マウスピース矯正(インビザライン)220,000円〜 |
治療費のお支払には、各種クレジットカードやデンタルローンがご利用いただけます。