一般歯科
/歯周病治療
/予防治療

一般歯科

歯や歯茎、お口の症状や悩みに幅広く対応しています。

虫歯、歯周病、抜歯などの治療や予防、インプラント、義歯など幅広く診療を行っています。

虫歯は自然に治ることがなく、放置しておくと少しずつ進行していきますので、早期発見と早期治療が肝心です。

毎日のブラッシング、定期的な健診で歯の健康を保ちましょう。

当院は、難易度の高い歯周病治療にも対応できるよう努めております。

他院では「治療できない」と言われたケースや、治療を続けていてもなかなか改善しないケースなどにも対応しておりますので、どんなことでもお気軽にご相談ください。

歯周病治療

歯茎の腫れや出血、歯がぐらぐら
歯周病治療

・自覚症状があるときはいち早く受診を
主に歯垢(プラーク)が原因で歯肉に炎症が起き、進行すると歯を支える土台である骨が溶けて最悪の場合は歯が抜けてしまう「歯周病」。
初期の状態では自覚症状が少なく、気付いたときには、かなり悪化していることも多い病気です。
当院では、定期的なメンテナンスを通して、ブラッシング指導から高性能機器を使用した歯根治療・外科的手術まで、患者様の状態に合わせた診療を行っています。

もしかして歯周病?!自覚症状チェック

  • 歯磨きをしたときに出血する
  • 口臭がする
  • 歯茎が赤く腫れている
  • 歯が動く
  • 噛むと痛みがある
  • 朝起きたときに口の中がネバネバする

治療の流れ

1Step1歯周病の状態を検査・診断
レントゲン撮影や歯周ポケットの検査などを行い、歯周病の進行状態を確認します。
2Step2ブラッシング指導
歯周病の予防や進行を抑えるためには、毎日の正しいブラッシングが欠かせません。
当院では2〜3回に渡って丁寧にブラッシング指導を行い、個人の磨き方のクセを見直して正しいやり方をアドバイスいたします。
また必要に応じて、お一人おひとりに合った歯磨き粉やブラッシング用の道具などもご紹介します。
3Step3歯石取り(歯茎の上まで)
歯周病の原因となる、歯の表面から歯茎の上までこびりついた歯石を除去します。
4Step4歯石取り(歯茎の中まで)
麻酔をして、歯茎と歯の間に隠れている歯石を除去します。
5Step5外科的処置・歯根治療
麻酔をして歯茎を切開し、歯根にたまった細菌や汚れを除去します。状況により歯周組織の再生が期待できる部位は特殊な方法で治療を行います。

今までの歯周病治療に不満を感じている患者様へ

歯周病治療症例

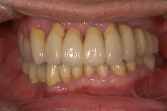
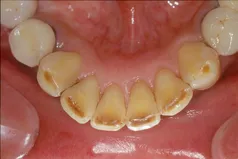
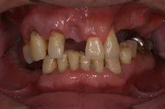
[症例1]

重度の歯周病で奥歯がすでになくなっており、そのため前歯もグラグラの状態でした。

右上の前歯(向かって左上)は自然に抜け落ちたそうです。

下の前歯の裏側には多量の歯石がたまっています。

【処置内容】

歯周初期治療、全体に歯周外科処置を実施、その後セラミックブリッジ、セラミッククラウン、

右上6・5番、左上3・4・5・6番、左下6番、右下4・6番にインプラントを実施。

  • 治療期間:約2年
  • 治療費:400万円
  • 治療回数:30回
[リスク・副作用]

歯周病治療が終わり次第、補綴治療に移行するため期間がかかります。歯周病治療後は定期的なメンテナンスが必要となります。

インプラント治療には保険が適用されないので自費(保険適用外)での診療となり、治療費が高額になります。

インプラント治療には外科手術が必要となります。外科手術後には腫れたり、痛みを伴うことがあります。

インプラントの耐用年数は、口腔内の環境(骨・歯肉の状態、噛み合わせや噛む力、歯磨きの技術、メンテナンスの受診頻度、喫煙の有無、歯軋りや食いしばりなど)や全身の健康状態により異なります。そのためインプラント治療後は必ず定期的なメンテナンスが必要です。

セラミック治療は保険適用外・自費診療となります。

健康な歯、天然歯を削る必要があります。

歯の状態によっては歯根の治療が必要な場合があります。

強い力をかけると欠けたり外れたりする可能性があります。

[リスク・副作用]
[リスク・副作用]
[リスク・副作用]
[リスク・副作用]
[リスク・副作用]
[リスク・副作用]

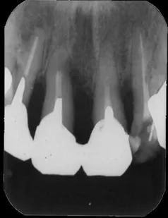
[症例2](エムドゲインを用いた治療例)

歯周病が進行して歯の周囲の骨が溶けてなくなっています。

全体の炎症を抑え、エムドゲインを用いて歯周外科処置を行い、歯茎が健康を取り戻した後に機能的なセラミックの冠を入れて治療しました。

レントゲン写真では治療前よりかなり骨が増えているのがわかります。

  • 治療期間:約1.5年
  • 治療費:60万円
  • 治療回数:20回
[リスク・副作用]

エムドゲインには保険が適用されないので保険適用外・自費診療となります。

セラミック治療は保険適用外・自費診療となります。

健康な歯、天然歯を削る必要があります

歯の状態によっては歯根の治療が必要な場合があります。

強い力をかけると欠けたり外れたりする可能性があります。

[リスク・副作用]
[リスク・副作用]
[リスク・副作用]
[リスク・副作用]

当院の予防治療について

予防治療で多くの処置を行う歯科衛生士には、口内の状態を見極めたり、徹底してクリーニングを施したり、といったスキルが求められています。

当院の歯科衛生士は、随時セミナーや勉強会に参加し、新しい知識の習得・技術の研鑽を行っています。予防のプロフェッショナルとして高度な対応を行っておりますので、安心しておまかせください。

予防治療の流れ

予防歯科の流れ

当院ではお口の健康を守るために、定期的なメンテナンスをお勧めしています。
虫歯や歯周病などは、悪くなってからでは治療の規模も大きくなり、身体的に辛いばかりでなく経済的にも負担がかかってきます。
日頃から予防をしておくことで、症状が出た場合でも初期に発見・治療ができ、結果的には負担が少なくて済むのです。

メンテナンスの流れ(1〜3か月ごと)

1Step1
検査(虫歯や歯周病など)
2Step2
問題点を確認
3Step3
ブラッシング指導
4Step4
スケーリング(歯石取り)
5Step5
PMTC(プロの手による歯のクリーニング)

問題点の確認

当院では定期的なメンテナンスの際に、歯と歯茎など口腔内をトータルでチェックいたします。

現状はもちろん、将来予想される問題点までしっかり診断し、患者様と一緒に問題点を確認しながら、よりよい予防法や治療法をご提案いたします。

ブラッシング指導

当院ではメンテナンスに来られた患者様に対して、磨き残しの出やすい部位をチェックし患者様に応じたブラッシング指導をいたします。
予防に欠かせない毎日のブラッシングが効果的に行われるよう、個人のクセを改善しながら正しい方法を身に付けていただきます。
また必要に応じて、歯磨き粉や道具などもご紹介いたします。

PMTC(プロの手による歯のクリーニング)

PMTC(Professional Mechanical Tooth Cleaning)は、歯石を取った後に専門の道具と研磨剤を用いて歯の表面を磨き上げる、プロの手による歯のクリーニングです。
毎日のブラッシングでは落としにくい歯の汚れやヤニを取るほか、歯周病の原因にもなるバイオフィルム(薄い細菌層)や歯石も、医療用の器具できれいに除去します。
また、仕上げに歯を最近から守るフッ素を塗布します。
虫歯や歯周病の予防に効果的なのはもちろん、見た目も美しくなるのが特徴です。

  • 所要時間 30分~1時間

当院では、落ち着いた雰囲気の個室診療室でメンテナンスを受けていただきます。

心地よいアロマの香りもリラックス効果を高めます。

[症例1]

歯石除去だけでは取りきれないタバコのヤニなどのステインもエアーフローという機械を用いて除去しています。

  • 治療期間:1ヶ月
  • 治療費:保険適応内治療
  • 治療回数:3回
[リスク・副作用]

歯周病治療や予防治療治療は基本的に保険適応で行います。

処置の内容によって保険適応外治療を行う場合があります。

定期的に歯茎の検査を行ったり、レントゲンhìnhを撮影して状態を精査します。

治療に痛みを伴う場合は麻酔の注射をすることがあります。

[リスク・副作用]
[リスク・副作用]